Детские страхи остаются в человеческой памяти надолго, иногда на всю жизнь. Многие люди в качестве детского страха «аукающегося» во взрослой жизни говорят о «страхе стоматолога». Поэтому так важно заранее спланировать первый визит ребенка к детскому стоматологу, правильно его подготовить, дабы в дальнейшем, без страха совершать регулярные профилактические осмотры и своевременно лечить зубы. Начать знакомство с детским врачом-стоматологом следует с «экскурсионного» визита – в отличном настроении, прекрасном самочувствии. За час или полтора часа до визита желательно покушать, чтобы потом, при осмотре, не было повышенного слюноотделения. Дневной сон также не должен отменяться, чтобы ребенок не устал и хорошо себя чувствовал. За несколько...

Бруксизм необходимо лечить
Зачастую к проблеме ночного непроизвольного скрежета зубами – бруксизму, люди относятся не серьезно, а зря, потому что такая патология может быть связана с другими серьезными проблемами со здоровьем человека. Бруксизм встречается приблизительно у 10% населения и связан он напрямую с неконтролируемым спазмом жевательных мышц, возникающим в ночные часы. Явления бруксизма зачастую возникают на фоне эмоциональных всплесков, затяжных депрессий, стрессов, неврозов. Параллельно с бруксизмом у человека могут обнаружиться иные патологии – такие как краткосрочное прекращение дыхания во сне, на фоне храпа, лунатизм или недержание мочи. Также бруксизм может возникнуть при неправильном прикусе или других заболевания зубов, челюстей. Скрежет зубами наносит им...

Уход за полостью рта после удаления зуба у ребенка
К сожалению, бывают ситуации, когда ребенку приходится удалять зуб. Если это происходит в старшем возрасте, когда ребенок способен объяснить свои ощущения после удаления и сам прекрасно справляется с уходом за полостью рта после удаления, задача для родителей упрощается. Но если это происходит в раннем детском возрасте, реабилитационный период, как для малыша, так и для его родителей будет напряженным. Прежде всего, взрослому необходимо выяснить у детского врача, проводившего операцию по удалению зуба, все детали по уходу за полостью рта ребенка. Например, через какое время следует убрать тампон из лунки удаленного зуба, как долго может длиться действие анестезии, как правильно и чем...

Что важно знать об отбеливании зубов
Ровный ряд здоровых белоснежных зубов, – о такой визуализации мечтают многие люди и делают все необходимое, чтобы добиться идеального состояния своей улыбки. Одним из таких методов есть отбеливание зубов, ведь эмаль зубов от природы может иметь разные оттенки серо-белого или желто-белого цвета. Образ жизни, генетические факторы также влияют на цвет эмали зубных рядов человека. Существуют профессиональные и непрофессиональные методики отбеливания. Часто к стоматологам обращаются пациенты, которые самостоятельно, в домашних условиях пытались отбелить зубы, а взамен приобрели много проблем – повредили эмаль, усилилась чувствительность зубов и прочее. Правильным решением станет участие или консультация специалиста в процессе отбеливания зубов. Профилактический осмотр состояния...

Процесс появления коренных зубов у ребенка
На пятом месяце жизни человеческого эмбриона в утробе матери, наряду с молочными, формируются зачатки и коренных зубов. Некоторые коренные зубы закладываются после первого года жизни малыша, поскольку его челюсть слишком маленькая, чтобы сформировались зачатки всех коренных зубов. Каждая мама знает, что ребенок имеет 20 молочных зубов, которые примерно к пяти-шести годам жизни ребенка начнут постепенно меняться на коренные, то есть постоянные зубы. В конечном итоге верхняя и нижняя челюсти вместе взятые должны иметь тридцать два зуба: по четыре резца, два клыка, четыре премоляра, шесть моляров (включая четыре зуба мудрости). Но именно зубы мудрости прорезываются не у всех или же их...

У ребенка – стоматит
Воспалительные явления с разнообразными высыпаниями и болезненными ощущениями слизистых оболочек ротовой полости: десен, внутренней поверхности щек и губ, подъязычной области называют стоматитом. Стоматит наиболее часто поражает именно детский организм, в силу того что его иммунитет только формируется, а слизистая рта имеет весьма нежную структуру. Стоматит бывает различных видов, в зависимости от причин и предполагающих факторов его возникновения. Самым распространенным считается герпетический стоматит. Обычно дети заражаются от взрослых воздушно-капельным путем а также через бытовые предметы. На пораженном вирусом участке ротовой полости образуются пузырьки, которые через несколько дней превращаются в эрозии, покрытые налетом. Такие ранки очень болезненны. Встречается у детей от года...

Стоматологические заболевания и беременность
Беременность – замечательный, но сложный период жизни каждой женщины. У будущей мамы могут возникать различные недомогания, в том числе состояние здоровья зубов также может ухудшаться. Если беременность спланирована заранее, зубы желательно пролечить до ее наступления. Бывают также непредвиденные ситуации, при которых, обращаться в стоматологическую клинику приходится, будучи в «интересном положении». Для того чтобы не навредить будущему малышу и его маме, существуют эффективные методики лечения беременных. Среди наиболее часто встречающихся проблем у беременных – это кариес (более 90% случаев). На начальных стадиях кариозного процесса лечение проходит без особых затруднений и не приносит никакого вреда здоровью. Главное не допускать более серьезных воспалительных...

Уход за зубами с брекет-системой
Многие пациенты, после установки брекетов, обеспокоены тем, что имеют совсем другие, непривычные или неприятные ощущения в ротовой полости, а гигиенический уход за такими зубами кажется им очень сложной и трудоемкой задачей. Возражать не будем, и к новым ощущениям надо привыкнуть и качественный гигиенический уход надо постараться обеспечить, тем более что с мотивацией не поспоришь – вы же хотите иметь ровные и здоровые зубные ряды с белоснежной улыбкой? Поэтому собрав все свое терпение и волю, перенесем все неудобства достойно, тем более что они краткосрочные. Например, после установки брекетов может быть небольшая болезненность и ощущение что все зубы шатаются или двигаются. На...

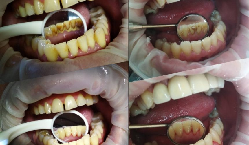
Профессиональная чистка полости рта
Как бы вы, уважаемые пациенты, тщательно не проводили гигиенический ежедневный уход за вашими зубами, все же на них скапливается налет и в дальнейшем могут образовываться зубные камни. Это, в свою очередь, приводит к заболеванию и кровоточивости десен, неприятному запаху изо рта, возникновению кариеса, разрушению и потере зубов. В домашних условиях, без профессиональных знаний и специальной аппаратуры, побороть твердые отложения на зубах невозможно. Такую процедуру проводят в стоматологической клинике всем желающим пациентам, как правило, два раза в год, а для людей, имеющих во рту несъемные стоматологические конструкции, желательно еще чаще. С особой осторожностью к проведению профессиональной чистки зубов стоит отнестись лишь...

Заботимся о состоянии эмали зубов
Самой прочной тканью человеческого организма считается эмаль зуба. Она выполняет защитную функцию для всей его поверхности, предохраняя от возможных негативных воздействий. В ее составе большое количество природных минеральных веществ. К сожалению, под влиянием различных факторов, эмаль зуба может изнашиваться и разрушаться, не имея свойств самостоятельно восстанавливаться. Лишь с помощью научных разработок стало возможным искусственное восстановление ее целостности. Среди причин, пагубно воздействующих на прочность зубной эмали: неправильный режим питания (употребление сладких, кислых пищевых продуктов), плохой гигиенический уход за полостью рта, недостаток кальция в организме, употребление некоторых лекарственных препаратов, бруксизм (скрежетание зубов) и прочие причины. Заметить ухудшение здоровья зубной эмали возможно по...
